Mark Lowey MSc FDS BDS MOrth DOrth LDS RCS (Eng.) MNTF
REMOVABLE RETAINERS VERSUS FIXED RETAINERS
RETENTION IT’S A FOREVER THING FOR 66% of the POPULATION.
From “Current Controversies in Orthodontics”
Birte Melsen, 1991
“It is important to consider the controversial risk to the periodontium from orthodontic treatment. Plaque-associated inflammatory lesion in a thin gingival unit that is already susceptible to breakdown.”
Eur. J. Orthod. 4:77–86, 1982
Levin L, Samorodnitzky-Naveh GR, Machtei EE.
J Periodontal 2008; 79(11):2087–92
“The use of postorthodontic fixed retainers made of wire and composite resin bonded to the lingual/palatal tooth aspect is a common practice that can affect gingival health. Labial gingival recession was significantly greater in treated (0.13 ± 0.2 mm) patients compared to non-treated patients (0.05 ± 0.2 mm; P = 0.03). Localized lingual gingival recession was significantly greater in teeth with fixed retainers (0.09 ± 0.2 mm) compared to teeth with no fixed retainers (0.01 ± 0.1 mm; P = 0.0002), as were plaque and gingival indices and bleeding on probing. Plaque on the lingual/palatal aspect showed a weak, positive correlation with lingual gingival recession (r = 0.16; P = 0.033).
CONCLUSION: Orthodontic treatment and fixed retainers were associated with an increased incidence of gingival recession, increased plaque retention, and increased bleeding on probing.”
Katsaros C, Livas C, Renkema AM.
Am J Orthod 2007; 132(6):838–41
“Twenty-one patients with FSW (Fixed Spiral Wire) retainers bonded on all six mandibular anterior teeth presented unexpected post-treatment changes in that region. Almost half of these patients were assessed as needing retreatment.
CONCLUSIONS: FSW retainers bonded on the six mandibular anterior teeth might cause unexpected movements of anterior teeth to such an extent that retreatment is necessary. Clinicians should consider this possibility when planning the retention strategy.”
Atack N, Harradine N, Sandy JR, Ireland AJ.
Angle Orthod 2007; 77(6):954–9
“RESULTS: Statistically significant changes in Little’s Index occurred in the lower labial segment of both study groups (P = .001) over the observation period. Bonded retainers tended to be placed in older patients (P = .02).
CONCLUSIONS: Relapse can occur in the lower labial segment with both fixed and removable retainers. The amount of relapse seen with both types of retainer is not statistically significantly different.”
Pandis N, Vlahopoulos K, Madianos P, Eliades T.
Eur J Orthod 2007; 29(5):471–6
“The long-term group presented higher calculus accumulation, greater marginal recession, and increased probing depth (P < 0.05). The results of this study raise the question of the appropriateness of lingual fixed retainers as a standard retention plan for all patients regardless of their attitude to dental hygiene. They also emphasize the importance of individual variability and cautious application of retention protocols after a thorough consideration of issues related to the anatomy of tissues and oral hygiene.”

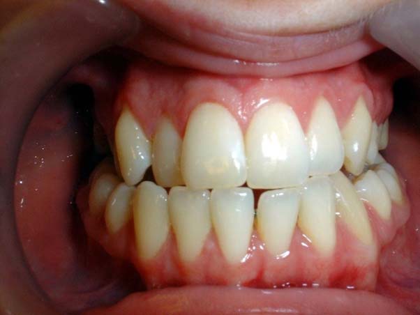
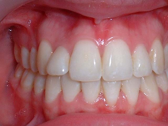
Failed fixed retainer cases – Orthodontics in Norway
Twice with premolar extractions which had to be retreated with fixed appliances for a third time and surgery. Fixed retainers had been placed on both the upper and lower jaws from 3–3 in both jaws.
Case now 8 years post-treatment with removable retainers.

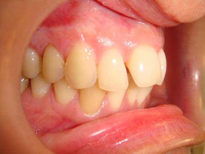
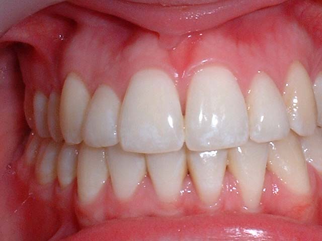
Failed fixed retainer from lower 3–3 with associated gum disease.




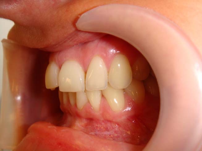
Failed fixed retainer in Norwegian patient. Removed and treated with a removable retainer only.



8 weeks treatment. Part-time wear.


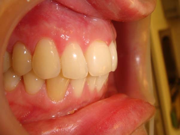
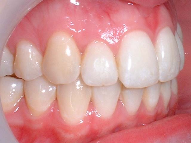
Failed Norwegian fixed retention case. Fixed retainers on both upper and lower jaws 3–3. Paid for and treated twice. Offered a third course of fixed appliances.
N.B. THE BUCCAL ROTATION.
Removed and treated by me with removable retainers only. Part-time wear for 6 months.



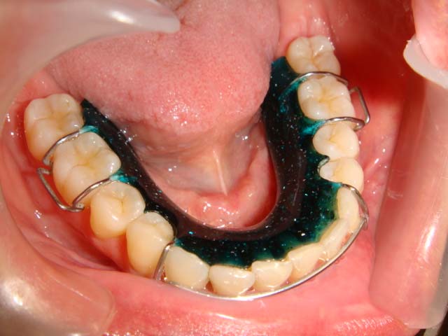
The last photograph is my own wife’s retainer. Her teeth are not stable either, but she has used the same retainer for twelve years now at night to retain them.


I have a collection of numerous other cases with broken fixed retainers, periodontal disease, distorted arches, and caries should you wish to see them.
© 27.1.14