Mark Lowey MSc FDS BDS MOrth DOrth LDS RCS (Eng.) MNTF
I do not use head gear, and have not for more than 20 years, because of the risks. In particular that of causing blindness, that families are not warned about. Booth-Mason S, Birnie D (1988) Penetrating Eye Injury. Russell H.A. Samuels and Malcolm L. Jones (1994).
The paradox is therefore that I also have an extremely low extraction rate. Patients are often offered either extractions or headgear as an alternative by orthodontists. So more premolar teeth are extracted than necessary. Any child given the choice of headgear or extractions is going to choose extractions.
Post graduate orthodontic training programmes are generally three years, some only part time. I trained for six years as a postgraduate, full time, and taught postgraduate orthodontists for six years.
To ensure students have completed cases within three years, “quick fix it” solutions are taught. Four premolar extractions; fixed braces for two years; ignore the wisdom teeth and glued wire retainers. This approach does not accommodate the vagaries of biology and growth.
At Vakresmil we take a long-term approach in order to avoid the unwanted consequences of unnecessary premolar extractions. When compared to internationally published data, I have the lowest premolar extraction rate I can find and the lowest extraction rate overall. This data has been collected blind and prospectively for the last 20 years.
The sample size is now 7,305 patients (1% = 73.05).
Extraction rates in Norway (Tvett 2004 MSc)
- 76% Upper limit
- 41% Average
- 28% Lower limit
Based on these figures, had I extracted teeth at the average rate of a Norwegian orthodontist, I have saved, on average, almost 12,000 premolar teeth extractions in the last 20 years.
- 76% × 5,552 = 22,207 premolars saved
- 41% × 2,995 = 11,980 premolars saved
- 28% × 2,045 = 8,180 premolars saved
In addition, the time required to extract these teeth (assuming 15 minutes per tooth, which is a low estimate) has saved between 1–3.5 years of a surgeon’s time to remove these teeth, if they did that and only that, all year.
- 5,551 hours = 138 weeks (40 hr week) = 3.45 years (40 week year)
- 2,995 hours = 74 weeks (40 hr week) = 1.85 years (40 week year)
- 2,045 hours = 51 weeks (40 hr week) = 1 year (40 week year)
The current increasing trend is to use aligners, Invisalign, rather than fixed appliances. Using aligners encourages this low extraction philosophy. So our approach would seem to be twenty years ahead of the curve. I first used Invisalign in 2003. We also provide lingual braces and aesthetic ceramic buccal appliances and have done for more than twenty years.
The argument about extractions has been unresolved for more than 100 years. Indeed Edward Hartley Angle opened the first orthodontic congress in 1901 and in discussing extractions described the extraction of teeth as:
“Pernicious, rarely wise and alas far too often resorted to, by those who should resort to less harmful, far wiser, and more effectual and scientific plans of treatment.”
Melsen and other authors reported the following:
“Interestingly, a considerable variety of opinion concerning what constitutes ‘good orthodontics’ has characterized our profession since its beginnings. No consensus exists today and some opinions even appear to be mutually exclusive. This disparate value system revolves around perceptions of quality and usefulness of procedures from the clinician’s perspective. Disagreements are the rule rather than the exception.”
— Birte Melsen, Current Controversies in Orthodontics, Quintessence 1991.
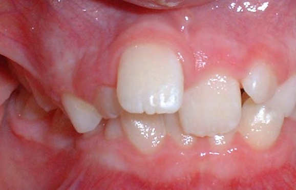
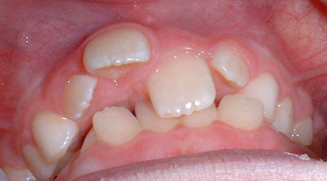
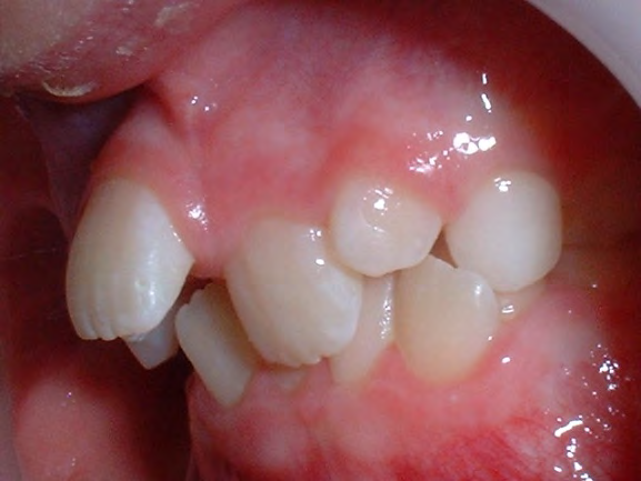
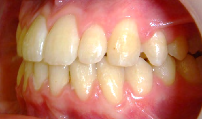
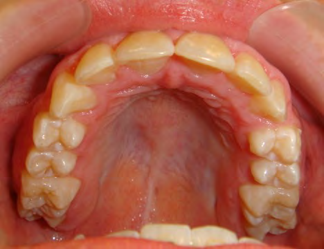
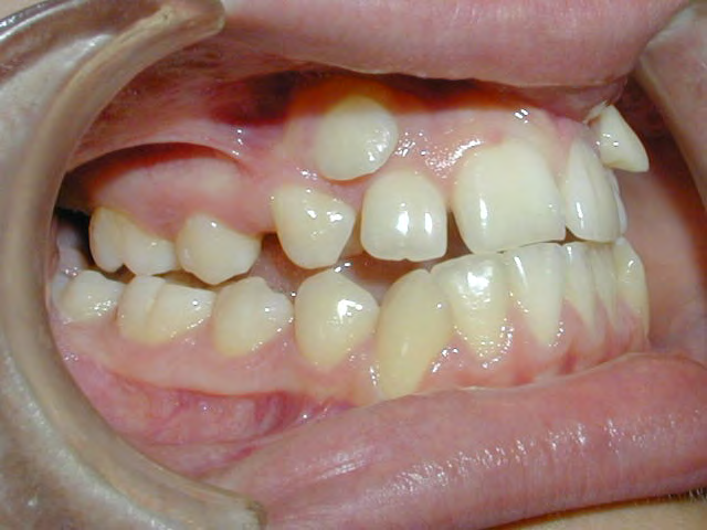
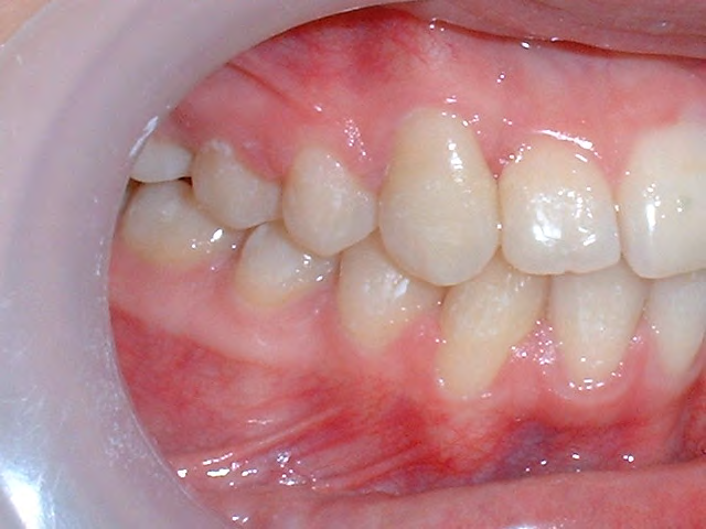
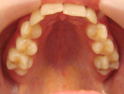
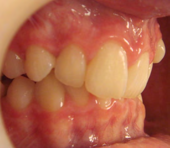
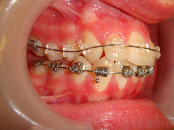
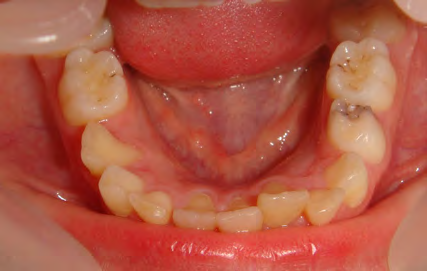
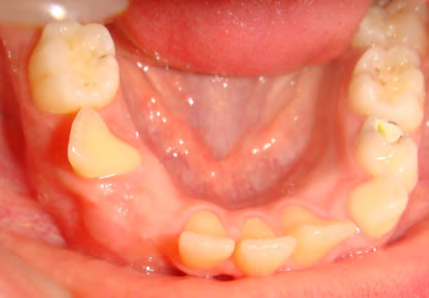
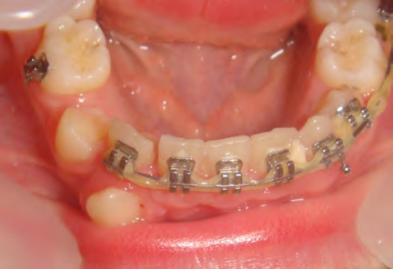
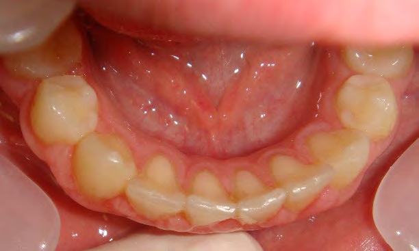
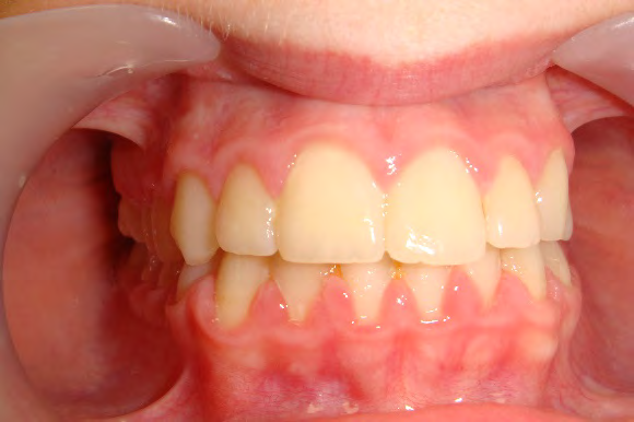
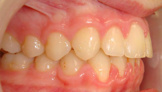
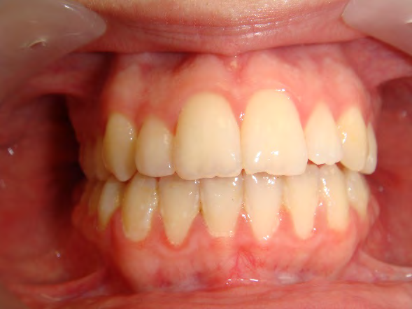
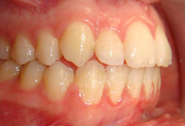
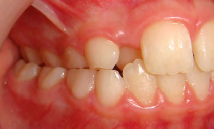
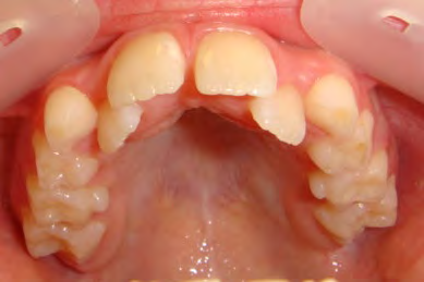
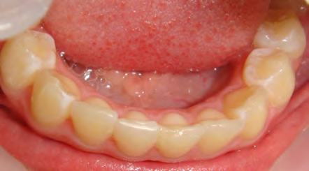
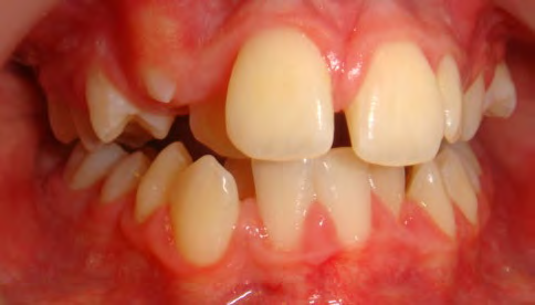
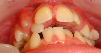
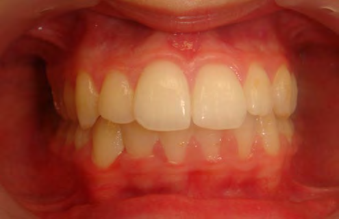
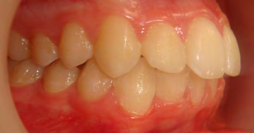
All of the patients below had been told they required extractions by orthodontists, some insisting that they could not be treated without extractions.
They were all treated without extractions, head gear or facemasks at Vakresmil and represent just a small sample of cases treated between 2004–2014.















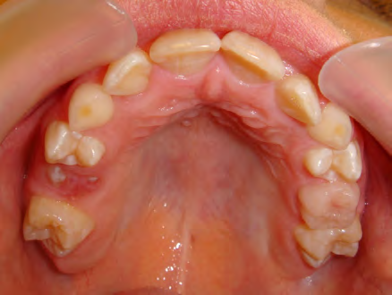
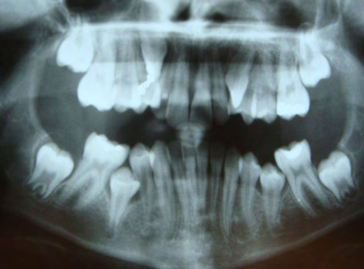
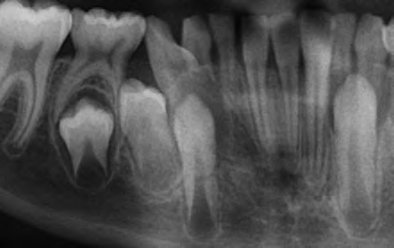
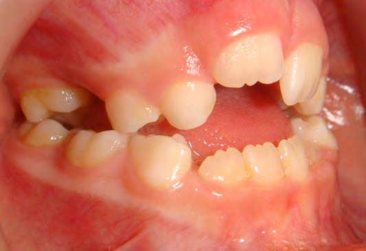
The patient below had severe crowding of both upper canines and the lower right 5. The upper 4’s and 2’s were actually in contact.





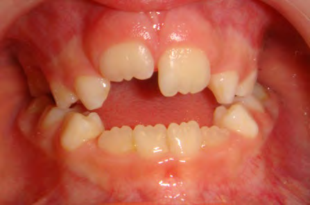
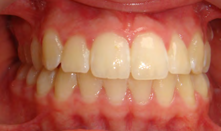
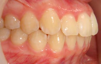
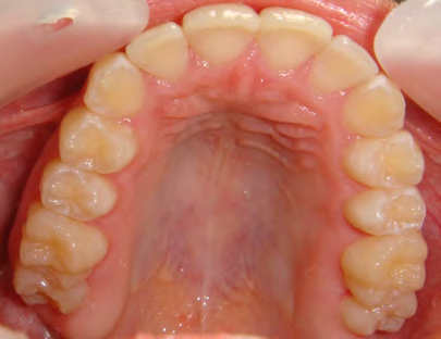
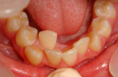
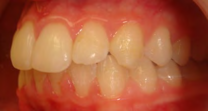
Below are cases treated at Vakresmil without extractions within the last three years. The families had been told, “It is simply not possible for your child to be treated without extractions” by orthodontists. Judge for yourself if that was right or wrong.


































The overall aim is to produce the best smile we can — a “beautiful smile”, if you will — without premolar extractions, headgear, facemasks or banded appliances. A smile that both the patient and we at Vakresmil can be proud of.
© 15.1.2020