Orthodontic Treatment

Orthodontics involves the diagnosis, prevention, and treatment of bite discrepancies and tooth alignment irregularities.

It is estimated that approximately 30% of children in each age group have a need for orthodontic treatment.

When is treatment carried out?

Orthodontic treatment is most commonly performed in children and adolescents while the permanent teeth are erupting and jaw growth is still ongoing. In most cases, a general dentist refers the patient to a specialist for evaluation.

In certain situations, such as specific types of underbite or jaw discrepancies, treatment may be postponed until growth is complete (typically around 18–20 years of age). In such cases, treatment may involve a combination of orthodontics and orthognathic (jaw) surgery.

Orthodontic treatment can also be carried out in adults. In adults, treatment may take somewhat longer, as bone metabolism is slower and jaw growth can no longer be utilized. This may limit certain treatment approaches compared to growing patients.

Appliances

There are two principal types of orthodontic appliances:

Fixed appliances consist of brackets bonded to the outer surfaces of the teeth and connected by an archwire that guides tooth movement.

Removable appliances are custom-made plates that can be inserted and removed by the patient.

Treatment duration

Treatment with fixed appliances, which is the most common method, typically lasts between 18 and 24 months. The exact duration depends on the complexity of the case.

Stabilization (Retention)

After active treatment has been completed, the teeth must be stabilized in their new position. This is commonly achieved by bonding a thin retainer wire to the back of the front teeth. In many cases, a removable retainer is also used.

Teeth have a natural tendency to shift over time. Retention is therefore necessary to reduce the risk of relapse and to maintain long-term stability.

Reimbursement

The National Insurance Scheme (HELFO) provides reimbursement ranging from 40% to 100% of the official fee schedule, depending on the severity of the treatment need. Private fees may exceed the official fee schedule.

Cases classified as “clear treatment need” receive 40% coverage, while “severe treatment need” qualifies for 75% coverage according to the regulations. The criteria for classification are clearly defined.

Sibling reduction is available from the second child onward when more than one child in the family requires orthodontic treatment.

To qualify for reimbursement, treatment must normally begin no later than the year the patient turns 18.

Treatment plan

Before treatment begins, a written treatment plan with a detailed cost estimate is prepared. This is based on clinical examination, radiographs, study models, and photographs.

The reimbursement category is determined at this stage.

The patient’s share of the cost is paid according to a pre-arranged payment plan.

Useful links

Norwegian Dental Association
www.tannlegeforeningen.no

Faculty of Dentistry, University of Oslo
www.odont.uio.no

Norwegian Health Network
www.helsenett.no

TAKO Centre
www.tako.dep.no

Norwegian Orthodontic Association
www.lgs.no

For further information regarding reimbursement regulations, please refer to HELFO’s official website.

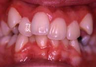
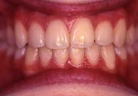
Use slider to see before / after.

tannregulering_foer tannregulering_etter