British Dental Journal
January 2010. Vol 28
DOI: 10.1038/sj.bdj.2010.57
M. N. Lowey BDS MSc FDS MOrth DOrth LDS RCS (Eng.)
“The FIVE CIRCLE TEST” – a clinical aid to assessing acid erosion
Dear Editor,
I am not alone in noticing over the years an increasing number of patients with acid erosion in caries free mouths. My belief is that a large cause of this is the fact that families are not registering fruit juice, yoghurts and “smoothies” as a source of both sucrose and acid. These products are often given more than once a day by thoughtful caring parents in the belief that the products are “healthy” and they miss the fact that the products are vehicles of fermentable sugars and acids.
As the mouths are often caries free I would like to share with your readership a simple clinical aid which I have been using for some time to help draw attention to the risks that erosion could be taking place so that parents can be forwarned. I call it the “Five Circle Test”; with the Olympics approaching it seems an appropriate time to share it.
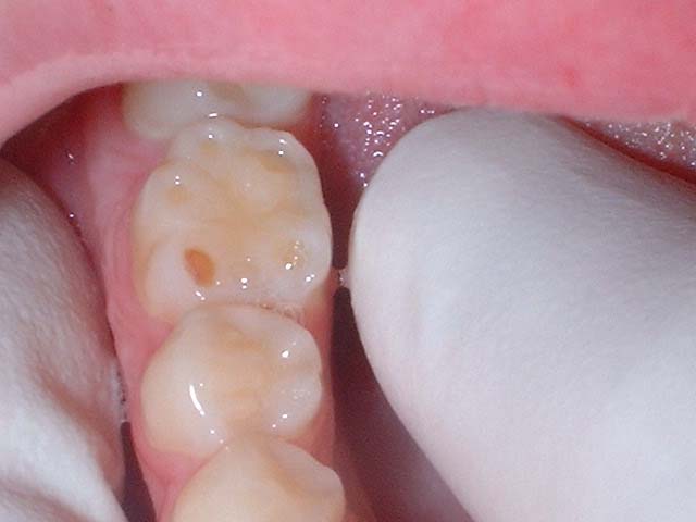
When a child is being examined assess the molars. As each cusp erodes a circle will appear on the cusp tip. If one circle is present less erosion has taken place than if the maximum number of five circles has taken place. Hence the name.
It can be applied to both deciduous and adult molars and is an easy way of showing a parent what is happening and recording it in the patient’s notes.
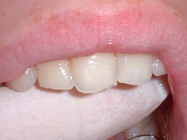
Another useful aid is to move a gloved finger behind the upper incisor teeth tips looking for translucency.
1 Circle (MB cusp of LR6)

5 Circles (Three buccal, two lingual cusps eroded – LR6)

Gloved finger test



Yours sincerely,
Mark Lowey
FDS, MSc, BDS, MOrth, DOrth, LDS, RCS (Eng.)
Stavanger, Norway