Don’t say it with a smile, say it with a BEAUTIFUL SMILE” – Hannah Lowey

Here, Dr Mark Lowey presents the knowledge, clinical experience, and publications that have shaped his work over the years. The aim is to provide a clear and well-founded understanding of treatment methods, technological developments, and the approaches available for different orthodontic conditions. Whether you are considering orthodontic treatment or simply seeking reliable, evidence-based information, this section offers a combination of professional insight and practical guidance.

About Mark Lowey

Mark Noel Lowey, BDS., MSc., FDS, Morth, Dorth, LDS, RCS (Eng.) MNTF

 

Dr. Mark Lowey is an experienced orthodontist and certified aligner provider with more than 30 years of experience in dental care. A graduate of Guy’s Hospital in London, he completed specialist training in orthodontics at leading hospitals and has been practicing in Norway since 1993.

Dr. Lowey has extensive experience in the use of aligner-based treatment to achieve controlled and discreet tooth movement. Each treatment plan is individually designed to ensure predictable and effective results, often without the need for extractions or fixed metal appliances. His approach combines clinical experience with careful planning to provide safe and well-documented treatment outcomes.

Publications

News Article

We like to think of ourselves as well equipped. Yet when some of us open our mouths, the dental arrangement can appear somewhat sparse. When he meets a Norwegian patient, he often finds himself wondering: Do you have all the teeth you are supposed to have?

Read more »

Orthodontics and Philosophy

In this philosophical discussion of orthodontic theory, Mark Lowey applies Karl Popper’s idea of falsifiability to clinical science. The most valuable theories are those that withstand repeated attempts at falsification across many circumstances. No theory is permanent or sacred — a good scientist must state conditions under which the theory would be rejected and move on when evidence no longer supports it.

Read more »

Orthodontics on Trial

Orthodontics on Trial examines the scientific uncertainty underlying orthodontic stability, relapse, extractions, retention, and appliance choice. Drawing on decades of research, the article challenges widely held assumptions and shows that tooth movement is normal, unpredictable, and largely unavoidable for most of the population, regardless of treatment method.

Read more »

Beauty and Aesthetics

Mark Lowey explores historical and philosophical views on beauty and aesthetics, revealing that universal standards are elusive and that individual perception largely shapes what is considered attractive.

Read more »

Fixed Retainers

Fixed retainers are often assumed to provide permanent stability, yet long-term evidence shows this is not the case. Plaque accumulation, periodontal complications, undetected breakages, and unwanted tooth movement can all occur over time. Stability remains unpredictable, and fixed retention does not eliminate the biological tendency for teeth to move throughout life.

Read more »

Five Circle Test

The Five Circle Test offers a simple clinical aid to assess acid erosion in caries-free mouths. By examining molar cusps and counting circles of erosion, clinicians can quickly communicate the extent of wear to parents and record it in patient notes. The test also includes a translucency check behind upper incisors to highlight early signs of erosion and help guide dietary advice and monitoring.

Read more »

Frequently Asked Questions

Why undergo orthodontic treatment?

Orthodontic treatment is carried out to improve the alignment of the teeth and the relationship between the upper and lower jaws. The goal is to achieve a stable bite that allows normal chewing function, protects the teeth from excessive wear or trauma, and supports long-term oral health.

In some cases, treatment is recommended to reduce a pronounced overjet, which may increase the risk of injury to the upper front teeth. In other cases, closing an open bite can improve chewing efficiency, or space closure may be indicated where teeth are missing.

While many patients are concerned about appearance, orthodontic treatment is not purely cosmetic. Proper alignment contributes to both function and long-term dental stability.

Bite development is influenced largely by genetic factors. Facial structure, jaw growth patterns, and much of tooth size and shape are inherited. The number of teeth can also vary, and some individuals are born without one or more permanent teeth (agenesis). This tendency often occurs within families.

Missing tooth development (Agenesis)

Open bite

Local environmental factors may also contribute. Prolonged thumb sucking, early loss of primary teeth due to caries, or trauma can influence the development of the bite and alignment.

Most orthodontic conditions arise from a combination of genetic and environmental influences.

An orthodontist is a dentist who has completed additional specialist training in orthodontics.

In Norway, dental education requires five years of university training, followed by three years of postgraduate specialist education in orthodontics. Specialists are approved by the Norwegian Directorate of Health.

Orthodontic treatment in Norway is primarily provided by private specialist practices, although some orthodontists work within the public dental health service.

The duration of treatment varies depending on the complexity of the condition being treated.

Minor corrections may take only a few months, while more comprehensive treatment involving significant crowding, spacing, or jaw discrepancies typically requires 12–24 months. In complex cases, treatment may extend beyond this timeframe.

Patient cooperation plays an important role in treatment efficiency. Following instructions carefully and attending scheduled appointments contribute to achieving optimal results within the planned period.

After active treatment, a retention phase is required to maintain the corrected alignment and ensure long-term stability.

Historical skeletal findings show that crowding, overjet, and other bite irregularities were present in earlier populations, including medieval societies. There is no clear evidence that malocclusion is significantly more common today.

However, access to orthodontic treatment has improved, and awareness of treatment options is greater. Studies indicate that approximately one-third of children and adolescents may benefit from orthodontic treatment.

In Norway, financial support for treatment is regulated through HELFO guidelines, which prioritize functional and health-related indications rather than purely cosmetic correction.

Orthodontics focuses on the diagnosis, prevention, and treatment of malocclusion (improper bite relationships).

Common conditions include:

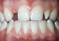
Increased overjet
The upper front teeth project significantly forward relative to the lower teeth. This is often associated with Class II skeletal relationships, but the terms are not interchangeable.

Reverse overjet (underbite)
The lower front teeth are positioned in front of the upper front teeth. This may be associated with Class III skeletal patterns.

Open bite
The upper and lower teeth do not make adequate contact when biting together.

Deep bite
The upper front teeth excessively overlap the lower front teeth vertically. In severe cases, the lower incisors may contact the palatal tissues.

Crossbite
The upper teeth bite inside the lower teeth in one or more areas due to transverse discrepancies between the dental arches.

Scissor bite
The upper teeth bite completely outside the lower teeth due to excessive transverse width.

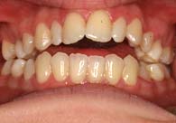
Crowding
Insufficient space in the dental arch causes teeth to overlap or rotate. In some cases, teeth remain impacted within the jaw.

Agenesis (missing permanent teeth)
One or more permanent teeth fail to develop. Teeth may also be lost due to trauma.

These conditions may occur individually or in combination.

Orthodontic treatment is generally safe when properly planned and monitored.

Good oral hygiene is essential during treatment, particularly with fixed appliances, to prevent enamel decalcification or caries. White spot lesions may occur if oral hygiene is inadequate.

Minor root resorption (shortening of the tooth roots) can occur during orthodontic movement. In most cases, this has no clinical significance. In rare instances, treatment may need to be adjusted.

Very rarely, the pulp of a tooth may lose vitality during or after treatment, particularly in teeth with previous trauma. In such cases, root canal treatment may be required.

Allergic reactions to orthodontic materials are uncommon, and alternative materials are generally available if needed.

In Norway, routine dental care for children is provided free of charge through the public dental health service. This does not include orthodontic treatment, whether provided publicly or privately.

However, the National Insurance Scheme (HELFO) provides substantial financial support for children and adolescents who have a documented need for orthodontic treatment.

Norway operates a graded reimbursement system. Patients with the greatest treatment need receive the highest level of financial support, while those with less severe conditions receive a lower percentage. The grading system is regulated by HELFO, which has clear diagnostic criteria.

To qualify for support, treatment must normally begin no later than the year the patient turns 18, and referral from a dentist or dental hygienist to a specialist in orthodontics is required.

In certain adult cases where orthodontic treatment is combined with jaw surgery, financial support may also be available.

Before treatment begins, a detailed treatment plan and cost estimate are provided. The total cost depends on the type of appliance used and the overall duration of treatment.

Orthodontic treatment in Norway is partially covered by HELFO and partially paid by the patient.

The level of reimbursement depends on the severity of the condition. Only treatment performed by a certified specialist in orthodontics qualifies for reimbursement.

The total cost varies depending on the complexity of the case and the type of appliance required. Treatment may last from a few months to several years. A treatment plan and cost estimate are always provided before treatment begins.

Orthodontic conditions eligible for reimbursement are divided into three groups:

Group A: 100% coverage according to official fee schedules
Group B: 75% coverage
Group C: 40% coverage

For Group B and C cases, treatment must begin no later than the year the patient turns 18.

Reimbursement is not granted if the need for treatment is due to untreated caries in permanent teeth or periodontitis, with the exception of aggressive periodontitis.

Orthodontic treatment must be carried out by a specialist in orthodontics or by a dentist in specialist training as part of their formal education. If treatment tasks are delegated, they must be performed under the orthodontist’s supervision and responsibility.

Families with more than one child requiring orthodontic treatment may qualify for increased reimbursement from the second child onward.

For Group B cases, coverage increases from 75% to 90%.
For Group C cases, coverage increases from 40% to 60%.

This applies when documentation shows that the first child’s treatment resulted in actual expenses for the family.

Official fee schedule (Honorartakst):
The standardized amount used to calculate reimbursement.

Reimbursement rate:
The portion paid by the National Insurance Scheme.

Co-payment (Egenandel):
The portion the patient must pay unless exempt.

Additional payment (Mellomlegg):
If the clinic’s fee exceeds the official fee schedule, the difference must be paid by the patient.

Total out-of-pocket payment (Egenbetaling):
The combined amount the patient pays, including co-payment and any additional fees.

Patients are always informed about pricing, reimbursement, and expected personal costs before treatment begins.

A general dentist monitors a child’s dental development and will inform parents if growth or alignment appears abnormal. Referral to a specialist in orthodontics is typically recommended for further assessment.

Parents may also seek consultation independently.

An orthopantomogram (OPG) X-ray around the age of 7 is often recommended. This panoramic image shows all existing teeth and developing permanent teeth. Some children are missing permanent teeth, and early identification is important for proper treatment planning.

Yes. A general dentist can identify irregularities in tooth development.

However, a specialist in orthodontics can provide a more detailed evaluation of treatment options, timing, expected outcomes, and cost. A consultation with a specialist gives parents a clearer basis for decision-making.

Advantages:

  • Improved chewing function

  • Reduced risk of dental trauma in certain cases

  • Improved oral health in the long term

  • Improved dental alignment and facial aesthetics

Disadvantages:

  • Financial cost

  • Time commitment

  • Temporary discomfort

  • Increased need for careful oral hygiene

During treatment, patients must avoid very hard or sticky foods that can damage appliances. Sugary and acidic beverages should be limited to reduce the risk of enamel damage.

When the overall benefits outweigh the disadvantages, treatment is generally recommended.

It means that the teeth and jaws work together more efficiently.

This includes effective chewing, but also proper speech function. Certain bite discrepancies can affect pronunciation and articulation.

Prominent upper front teeth are more susceptible to injury, especially in children.

Some bite discrepancies may lead to uneven loading of teeth, jaw joints, or muscles. Impacted teeth that fail to erupt properly can also create complications.

Properly aligned teeth are generally easier to clean, which supports long-term oral health.

Many people become dissatisfied with their dental appearance due to large overjet, reverse overjet, severe crowding, or spacing.

Dental irregularities can affect self-confidence and may lead to social discomfort.

However, tolerance for irregularities varies between individuals. Treatment decisions are therefore made after individual assessment.

Modern orthodontic treatment aims to preserve natural teeth whenever possible.

In some cases, removal of premolars may be necessary to create space. In other situations, first or second molars may be removed, particularly if they are heavily restored and wisdom teeth are present.

Each case is evaluated individually. Extraction decisions are based on diagnosis, facial balance, long-term stability, and functional considerations.

If a bracket becomes loose and does not cause discomfort, it can usually wait until the next appointment. If irritation occurs, contact the clinic.

If the last bracket becomes detached, it may be removed carefully. If the wire causes irritation, orthodontic wax can be applied temporarily.

For removable appliances, if plastic becomes sharp, it may be gently smoothed with a nail file.

If metal components loosen, continue wearing the appliance as instructed and contact the clinic for repair.

The clinic is located at Kirkegaten 28, 2nd floor, above Brilleland and next to Synssenteret. The entrance is at the rear of the building.

The easiest access is via Valbergtårnet. Stairs lead down on the left side to a tall fence; the entrance is behind the fence.

For stroller access, walk via Café Sting and the path around Valbergtårnet.