“How much longer will it take?”
This is the question every patient asks and every Orthodontist dreads because the real answer is no one knows for any given individual. Orthodontists give rough estimates below are my own actual figures.
The range and variation is as varied as patients are. This question is equivalent to every patient attending their Doctor and asking “OK, you are the Doctor; How long am I going to live?”
Below my own figures for duration of treatment for 210 completed cases treated in Norway (2010). The paper was devoted to other subjects and treatment duration was simply a part of that analysis.
Table 3
Treated patient group (N = 210)
| Appliance type | Duration (months) |
|---|---|
| Upper fixed appliances | 15.5 ± 6.98 |
| Lower fixed appliances | 15.9 ± 7.06 |
| Functional appliances | 5.6 ± 2.6 |
I do not advise my patients that the actual duration in my practice is 15–16 months unless pushed. This would generate false expectations. I also explain that the range in this sample was 12 weeks to 4 years. The longest cases had the lowest compliance.
In my experience whatever a patient is told or has consented to they will mentally reduce this by 6 months before treatment is commenced and after 12 months will ask “How much longer must they continue?” I always advise my patients duration is approximately 18 months to two years and they are consented for that.
The duration of orthodontic treatment with and without extractions:
A pilot study of five selected practices
Peter S. Vig, Jane A. Weintraub, Colleen Brown, Charles J. Kowalski
Contemporary orthodontic practice is diverse, both in the variety of clinical problems treated and in the methods used. Practices differ with respect to their patient composition as well as in many variables relative to treatment protocols. Such heterogeneity makes it difficult to make valid generalizations concerning the characteristics of orthodontic treatment procedures or outcomes; yet data and methods are required for assessment of issues of efficacy and utility.
The frequency of orthodontic extractions is an objective criterion that distinguishes practices and may also be related to differences in treatment outcome variables, such as duration. When extraction versus non-extraction treatments were compared, the mean durations of treatment were 31.2 and 31.3 months, respectively. Data from individual practices, however, indicated that extraction treatment in each of the practices was of longer duration than non-extraction therapy. These differences in duration were 3.0, 6.6, 2.4, 3.0, and 7.3 months in the five practices.
The duration of orthodontic treatment
Debra F. Fink, Richard J. Smith
Characteristics of the patient, the treatment plan, and the practitioner’s office were examined to evaluate causes for variation in the duration of orthodontic treatment. From six offices 118 patients were evaluated. All patients were treated in a single phase with fixed appliances. Appliances were worn for an average of 23.1 months. The mean duration for offices ranged from 19.4 to 27.9 months.
Thirty-eight percent of the patients had extractions, and 32% wore headgear. Fifty percent of the variation in treatment duration among patients was explained by a five-step multiple regression equation. The variables entering this equation were:
- Number of extracted premolars
- Number of broken appointments
- Pretreatment mandibular plane angle
- Pretreatment ANB angle
- Pretreatment Salzmann Index
Observations within each office suggested that the time spent by individual clinicians in detailed finishing, which would not be detected by measures such as the Salzmann Index, was an important source of unexplained variation in treatment duration.
I do not use head gear and have not for many years because of the risks. In particular that of causing blindness. Booth-Mason S, Birnie D (1988) Penetrating Eye Injury. Russell H.A. Samuells and Malcolm L. Jones (1994).
I have a low premolar extraction rate and low extraction rate overall.
Extraction of sixes sevens and canines
Extraction of sixes sevens and canines
| Year | 2004 | 2006 | 2010 | |||
|---|---|---|---|---|---|---|
| Sample | 974 | 2230 | 210 | |||
| 4×4 | 2 | 0.90% | ||||
| Sixes | 13 | 1.40% | 35 | 1.56% | 7 | 3.30% |
| Sevens | 13 | 1.40% | 25 | 1.12% | 7 | 3.30% |
| canines | 1 | 0.10% | 4 | 0.20% | 1 | 0.50% |
In addition I also advise all patients at the outset that they have two other choices.
- No treatment. Simply monitor with study models and photographs and review.
- Retention only. To maintain the occlusion.
All retention is given with the advice that it should be lifelong in line with Little’s extensive research. This is warned at the first consultation, when the retainers are fitted and when compliance is poor.
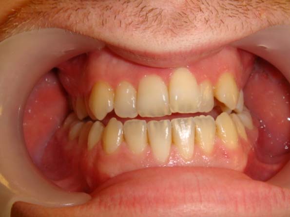
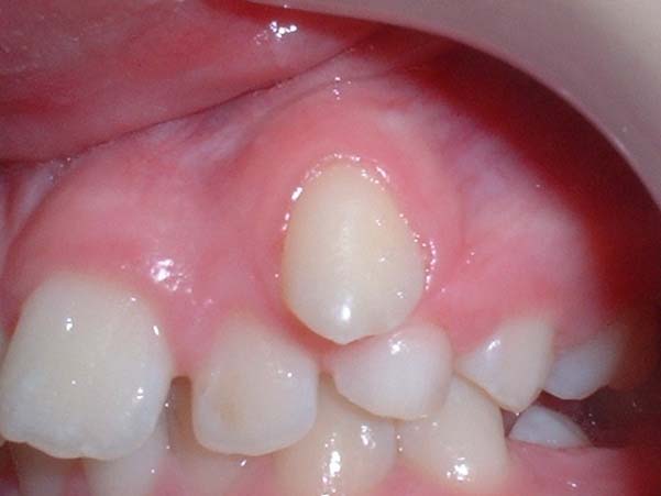
Case Example 1
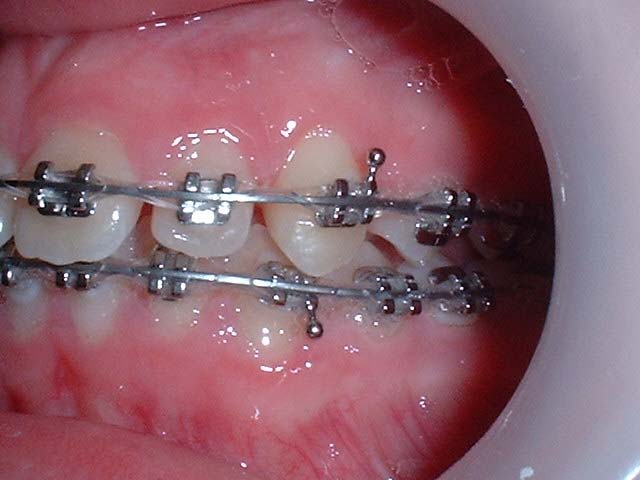
Figure 1. Adult patient completed treatment in 12 months.





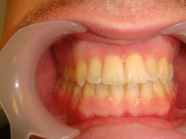
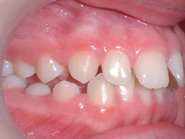
Case Example 2
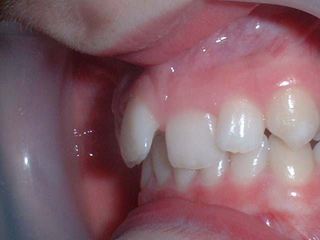
Figure 2. Patient progress from initial crowding through early alignment.






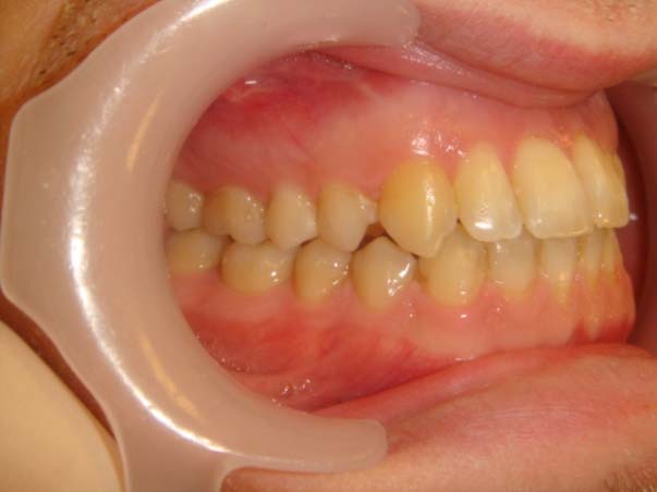
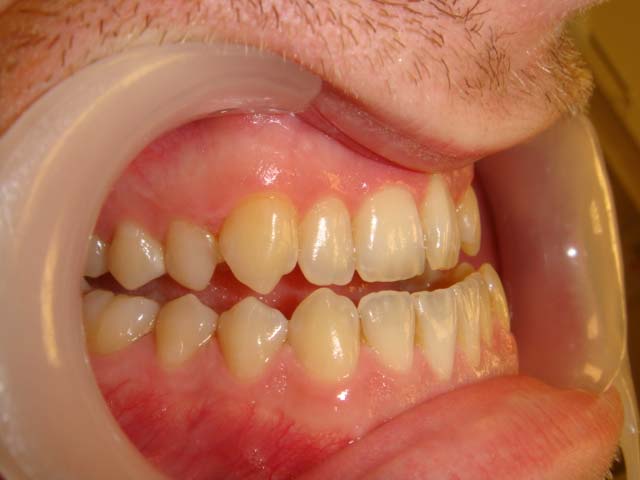
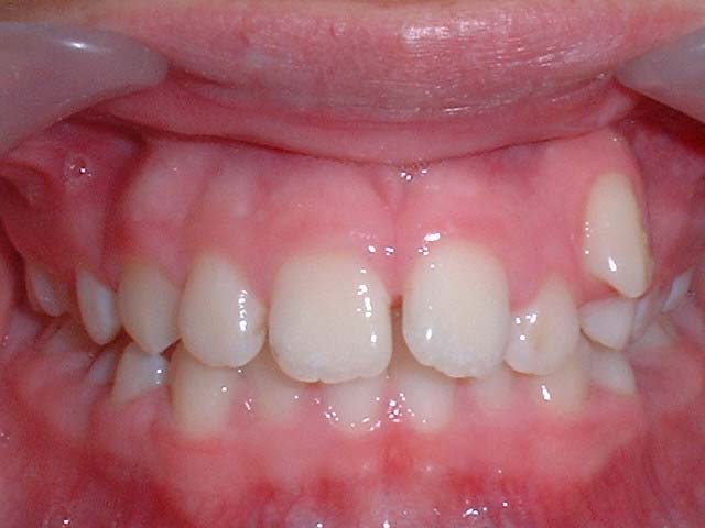
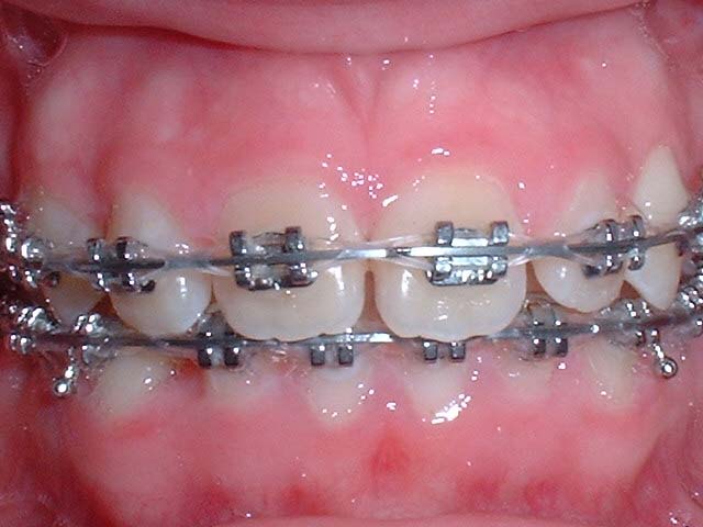
Case Example 3
Both patients below reached this level of improvement after only 12 weeks of treatment, without extractions or headgear.








Both of the two patients above had reached this level of completion without extractions or headgear after only 12 weeks of treatment.
With this range of treatment duration, regardless of presenting problems, by the same Orthodontist in the same office simply demonstrates that guessing the weather is easier than completion dates.
The universal key to completing treatment early is COMPLIANCE. Especially with wearing elastics, breakages and oral hygiene.
© 27.1.2014