INVISALIGN TREATMENT
The results with Invisalign treatment are much better than they used to be. Compared to Conventional Buccal fixed braces patients love them.
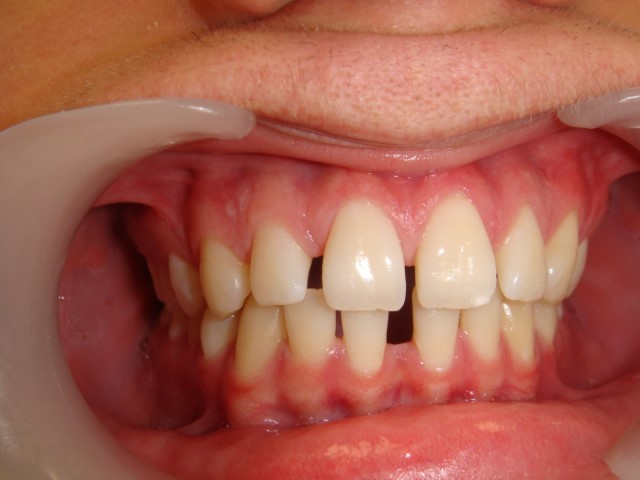
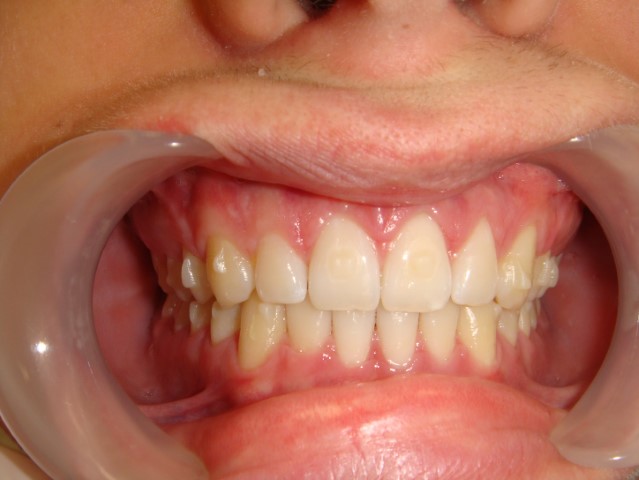
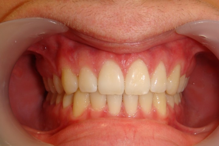
The images below show the results achieved after only 6 months treatment with Invisalign!
That of course cannot be promised for every patient.
The Protocol we use is to undertake a full examination, for adults or children.
Then if they are interested in Invisalign we undertake a Simulation which indicates what the Final result could look like.
If patients want more detailed assessment that requires a full Clincheck. This is a much more detailed and accurate Computerised assessment. Once all the information has been digitised and the Clincheck has been developed Patients are then invited to look at the Clincheck to make sure they are happy with the predicted result. It must be remembered that this is a Computer prediction. Sometimes teeth don’t follow the rules and further aligners may be required as a second stage to achieve the desired result.
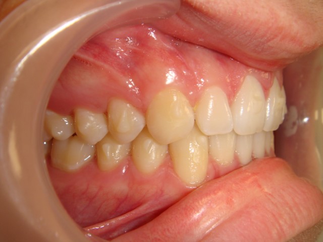
We advise all patients to review the Internet and Youtube there are some excellent videos about Invisalign, produced by Align technology, for children and Adults. The images below show before after and during treatment.
The Tooth coloured blocks on the teeth are called attachments and are used instead of conventional brackets to move the teeth they are easily removed at the end of treatment.


Only 6 months treatment!





